近日,一场跨越三千余公里的生命接力在深圳市儿童医院暖心落幕。来自西藏的12岁女孩次仁拉措,在我院心内科团队的精准诊疗与精心救治下,成功接受动脉导管未闭介入封堵术,摆脱先天性心脏病的困扰,重获健康新生。
次仁拉措自幼便表现出活动能力差、极易疲倦的症状,生长发育也显著落后于同龄孩子。今年,她被确诊为动脉导管未闭(PDA)合并重度肺动脉高压,当地医疗条件难以开展此类复杂治疗。家人多方奔走求助,不仅得知手术难度极大,还被告知治疗费用高达近20万元,这让本就焦急的家庭雪上加霜。万幸的是,在当地政府的协助下,家人联系到了曾多次成功救治西藏先心病患儿的深圳市儿童医院,随后便带着孩子千里迢迢奔赴深圳,寻求一线生机。
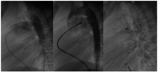
入院后,我院心内科团队第一时间为次仁拉措开展全面细致的检查评估,结果显示其动脉导管未闭内径达12mm,已合并严重肺动脉高压及慢性心功能衰竭,病情十分危急。团队迅速制定个性化诊疗方案,先给予强心、降肺压等对症支持治疗,密切监测患儿病情变化。待其心功能逐步改善、达到手术标准后,于2026年3月31日为其成功实施动脉导管未闭介入封堵术。
整个手术过程十分顺利,微创介入的方式最大程度降低了手术创伤。术后第二天,次仁拉措便能自主下床活动,她稚嫩的脸上露出笑容,开心地说:“我感觉非常好,身体有劲了!” 看到孩子病情好转,家属及陪同的当地政府工作人员激动不已,向心内科医护团队献上象征敬意与感谢的彩色哈达,真挚的情感让现场暖意融融。
4月4日,次仁拉措顺利出院,此次治疗总住院费用仅3万余元,远低于家属此前得知的预估费用。出院前,医护人员详细叮嘱家属,孩子后续需在专业指导下规律服用降肺动脉高压药物,并按时随访,团队也将持续与家属、当地政府保持沟通,全程关注孩子的康复情况。
我院心内科专家特别提醒,动脉导管未闭是儿童常见的先天性心脏病,若未能及时治疗,病情进展可能引发肺动脉高压、心力衰竭,甚至危及生命。目前,该病已可通过微创介入手术实现根治,该手术具有创伤小、恢复快、治疗效果佳等优势。儿童先心病诊疗的关键在于早发现、早诊断、早治疗,避免病情发展为梗阻性肺动脉高压(艾森门格综合征),从而失去宝贵的手术机会。像次仁拉措这样粗大的动脉导管未闭拖延至12岁才接受治疗,手术风险极高,所幸其病情尚未完全进展为艾森门格综合征,但仍需要长期的术后药物管理与康复监测。
作为儿童健康的守护者,深圳市儿童医院始终秉承“一切为了孩子”的初心使命,凭借精湛的医疗技术与暖心的医疗服务,为全国各地的患儿保驾护航。未来,我院将继续发挥专科优势,持续为包括西藏在内的偏远地区先心病患儿提供优质医疗支持,用专业与爱心为更多患病儿童点亮生命希望,让这份跨越山海的健康守护,始终相伴童心、温暖同行。


