近日,我院心血管内科对接受可降解封堵器治疗的患者进行了长期随访。结果显示,植入物已完全降解吸收,缺损部位由自身心肌组织完美替代,实现了心脏结构与功能的 “完全治愈”。
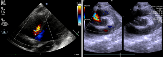
患者茜茜(化名),一位9岁的小学生,1年余前因为超声发现了室间隔缺损来到我们医院心血管内科就诊。术前超声提示缺损直径约3.5毫米,成功应用MemoSorb全降解封堵器进行封堵治疗,手术过程顺利,术后心脏彩超复查提示封堵成功。术后1年的最新复查结果令人振奋:
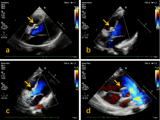
心脏彩超:植入的封堵器已完全降解吸收,原缺损已完全闭合,与正常室间隔无异,心脏结构及功能恢复正常。
胸部X线检查:胸部未见任何植入物影。
临床体征:患儿生长发育达标,体表无手术瘢痕,无心脏杂音。

图1:患者封堵前心脏彩超检查显示室间隔缺损

图2:手术后复查心脏彩超结果(a:术后1个月;b:术后3个月;c、d:术后1年。箭头所示为封堵器形态,如图所见,在术后1年显示封堵器已吸收,超声显示缺损已完全闭合,与正常室间隔无差异)
此案例代表了当前儿童先天性心脏病治疗领域的一项里程碑式突破——可降解封堵器让心脏缺损实现解剖学治愈。经过1年多的临床实践,该技术已展现出了良好的临床疗效及其独特的优势,为先天性心脏病患者的治疗提供了更多的选择。
技术原理:给心脏一个“临时支架”
室间隔缺损是最常见的先天性心脏病类型之一,约占全部先心病的20%-30%。传统治疗方法包括开胸外科手术与经导管金属封堵器植入。前者创伤较大,会遗留永久性手术瘢痕;后者虽属微创,但金属装置将永久存留体内,可能对心脏长期发育及未来影像学检查产生一定影响。

图3:室间隔缺损示意图(图片来源于网络)
可降解封堵器介入技术则融合了微创介入与先进材料学的优势:
1、微创入路:仅需经股动静脉穿刺建立约2毫米的血管通路,在X线及超声引导下,通过导管将封堵器输送至心脏缺损部位。
2、生物可降解材料:封堵器采用聚左旋乳酸(PLLA)等生物相容性良好的高分子材料编织而成。在植入后6个月内,封堵器提供良好的机械支撑力,阻断异常血流,促进自身组织沿封堵器攀爬生长。封堵超过6个月后,封堵器开始逐步水解,降解产物为乳酸,最终代谢为水和二氧化碳,经呼吸和泌尿系统排出体外,不遗留永久性异物,整个降解吸收期可持续到术后12·-24个月。

图4:MemoSorb全降解VSD封堵器系统(图片来源于网络)

图5:封堵器植入后组织修复过程示意图(图片来源于网络)
这项技术的核心在于“介入无植入”,早期提供临时支撑(0-6个月),后期完全降解(6-24个月),心脏实现完全修复。
临床优势:修补无痕,实现完全修复
1、最大程度微创化:避免开胸手术、体外循环及输血相关风险。手术时间短,出血量极少,患者创伤应激反应轻。
2、优异的近期与远期效果:
即刻效果:封堵器植入后即刻实现完全封堵,心脏血流动力学立即恢复正常。
远期效果:随着封堵器降解,缺损区域最终完全由自身组织修复,心脏结构得以“自然重建”,无任何异物残留,不影响儿童心脏未来的生长发育潜力,无远期并发症风险,最终实现完全修复。
3、加速康复与良好体验:患者术后疼痛轻微,恢复迅速,通常术后第二天即可下床活动,术后3-5天可出院。体表无可见疤痕,极大降低了患儿及家长的心理负担,利于儿童心理健康发展。
4、为未来医疗保留空间:心脏内无异物残留,不影响未来进行磁共振等影像学检查,也不干扰未来可能需要的其他心脏介入或外科处理。
先心病的治疗我们经历了从“开胸缝合”到“金属封堵”,如今迎来了“全降解、完全修复”的新时代。我们不仅是在修补一个洞,更是在守护一颗完整的心。让每一个先心病孩子都能拥有一个“原装”、健康、无负担的未来。