跨越山海,情暖鹏城,岁末年初,深圳市儿童医院党委罗新乐书记、党办主任王丹、社工部主任吴文湄等同志专程来到龙华院区骨科病区,亲切看望正在这里接受手术治疗的四名藏族重度脊柱侧弯患儿,为孩子们送去医院的深切关怀与温暖祝福。

在骨科病房,罗新乐书记俯下身来,温和地与孩子们交谈,仔细询问他们的身体状况,“小朋友,现在感觉怎么样?伤口还疼不疼?”,“要好好吃饭,快快好起来!”一句句暖心的话语,一个个鼓励的眼神,让远离家乡千里之外的孩子们感受到了亲人般的温暖。罗新乐书记还详细询问了患儿的具体病情,仔细了解患儿的手术及术后康复情况,反复叮嘱骨科医护人员始终秉承关爱之心,不仅要治好孩子的身体疾病,也要呵护他们的心理健康,帮助他们树立战胜疾病的信心!

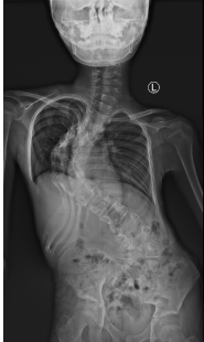
此次来我院的四名藏族患儿,均为重度脊柱侧弯,最严重者脊柱侧弯Cobb甚至高达120多度,脊柱严重变形,手术难度及风险高,在当地难以治疗。深圳市儿童医院骨科党支部心系藏族同胞需求,迎难而上,针对每一位藏族患儿的病情制定了个性化、精细化的诊疗方案。从术前详细的脊柱畸形评估、三D打印重建,到术中精准的脊柱畸形截骨矫正,再到术后全面科学的康复指导,先后成功为藏族患儿进行了脊柱侧弯矫正,帮助他们挺直了脊梁。

看到藏区孩子们经过治疗后,原本弯曲的脊柱逐渐挺拔,罗新乐书记强调,深圳市儿童医院始终秉持“一切为了孩子”的宗旨,积极发挥儿童医疗中心的辐射作用,为包括藏族同胞在内的广大患儿提供高质量的医疗服务。医院将继续加强藏区医疗帮扶,守护民族未来脊梁,为孩子们的健康成长保驾护航!

